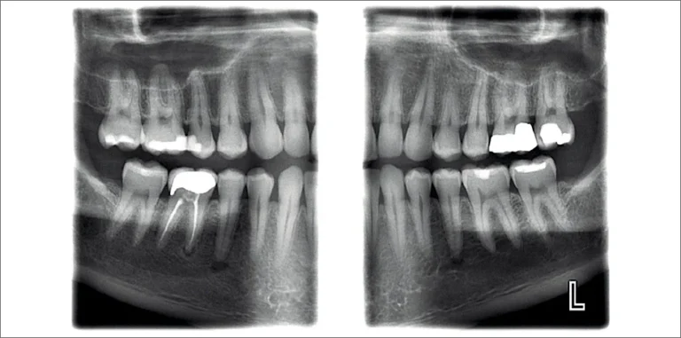
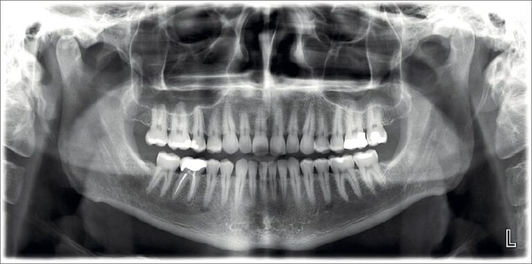
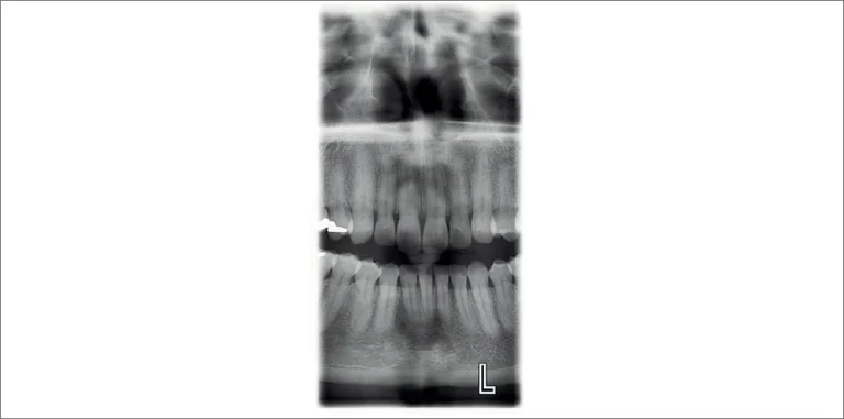
Planmeca ProMax® 2D are complete units for maxillofacial imaging. Their design and operation principles are based on the latest scientific research and technological innovations. The units are capable of fulfilling even the most demanding needs of modern-day 2D panoramic dental imaging.


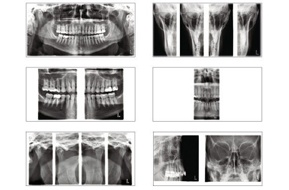
The three-joint (SCARA3) Planmeca ProMax 2D S3 unit has been designed for all 2D imaging needs: panoramic, true extraoral bitewing, TMJ and sinus imaging.

The two-joint (SCARA2) Planmeca ProMax 2D S2 panoramic dental imaging unit includes basic programs for panoramic, extraoral bitewing, TMJ and sinus imaging.
| Planmeca ProMax 2D S3 | Planmeca ProMax 2D S2 | |
| Standard panoramic imaging | ✔ | ✔ |
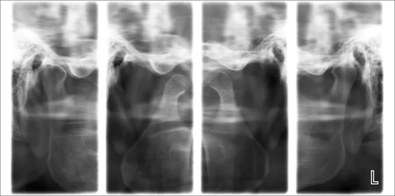
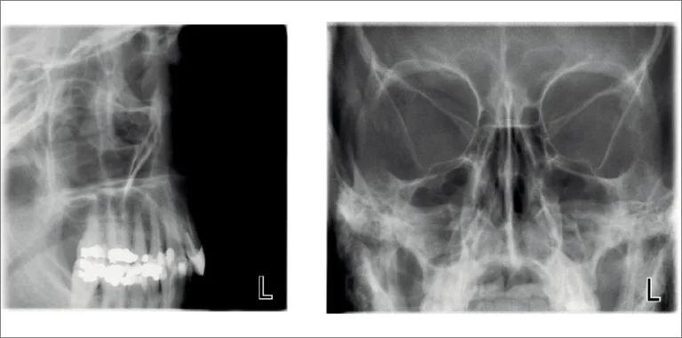
| Lateral TMJ imaging (closed & open) | ✔ | ✔ |
| PA TMJ imaging (closed & open) | ✔ | ✔ |
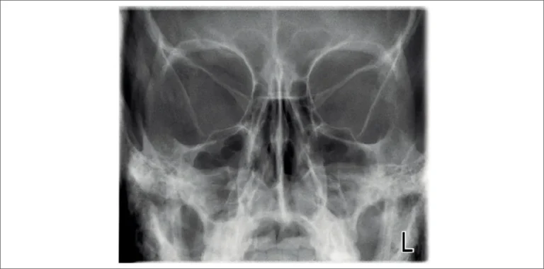
| PA sinus imaging | ✔ | |
| Child (paediatric) mode | ✔ | ✔ |
| Horizontal and vertical segmenting for the panoramic program* | ✔ | ✔ |
| Bitewing imaging* | ✔ | ✔ |
| Interproximal panoramic imaging* | ✔ | |
| Orthogonal (perio) panoramic imaging* | ✔ | |
| Lateral-PA TMJ imaging* | ✔ | |
| Lateral multiangle TMJ imaging* | ✔ | |
| PA multiangle TMJ imaging* | ✔ | |
| PA linear sinus imaging* | ✔ | |
| Lateral sinus imaging* | ✔ | |
| Lateral non-rotational sinus imaging* | ||
| Cross-section imaging* |









The open-face architecture of Planmeca ProMax offers an unrestricted view that helps you position patients accurately. This can be done either using the unit’s autofocus feature or manually, with a triple laser beam system accurately indicating the correct anatomical alignment points.
With an interface that guides users through their work, Planmeca ProMax 2D panoramic dental imaging units always support a smooth imaging experience. Pre-programmed sites and exposure values for different image types and targets both save time and allow you to fully focus on your patients.
Planmeca ProScanner 2.0 significantly speeds up the intraoral imaging workflow with its fast scanning process. Just insert the imaging plate, scan it and diagnose the captured image. If the wrong side of the plate is accidentally exposed, it is easy to notice immediately from the captured image.
Our unique digital Dynamic Exposure Control (DEC) feature automatically adjusts the exposure values for each individual patient based on their anatomic structure and bone density. DEC improves the quality of both 2D panoramic and cephalometric images with more consistent brightness and contrast.
X-ray tube
Focal spot size (mm) (IEC 336)
Sensor pixel size (µm)
| Generator | Constant potential, resonance mode high frequency 80–150 kHz |
| X-ray tube | D-054SB-P |
| Focal spot size | 0.5 × 0.5 mm (IEC 336) |
| Total filtration | Min. 2.5 mm Al equivalent |
| Anode voltage | 60–84 kV |
| Anode current | 1–16 mA |
| Exposure time |
Pan: 2.7–16 s Scanning ceph: 6.7–10.5 s ProCeph: 0.1–0.8 s |
| SID |
Pan: 500 mm (19 in.) Ceph: 170 cm (67 in.) |
| Magnification |
Pan constant: 1.2 Ceph: 1.13 |
| Sensor pixel size | 48 µm |
| Image pixel size | 48 / 96 / 144 µm selectable |
| Sensor active surface |
Pan: 6 × 146 mm Ceph: 6 × 292 mm |
| Image field |
Pan: 14 × 30 cm (5.5 × 12 in.) Scanning ceph: 18 × 18 – 30 × 27 cm (7 × 7 – 12 × 10.5 in.) ProCeph: 20 × 18 – 30 × 25 cm (8 × 7 – 12 × 10 in.) |
| File size (uncompressed) |
Pan: 4–33 MB Ceph: 7–16 MB |
| Line voltage | 100–240 V, 50 or 60 Hz |
| Regulation | Automatic, ±10% |
| Line current | 8–16 A |
| Colour | White (RAL 9016) |

Due to patented SCARA technology, our Planmeca ProMax units can produce all the required movements for rotational maxillofacial imaging. The Selectively Compliant Articulated Robot Arm guarantees an anatomically accurate imaging geometry – resulting in clear and error-free images.

The two-joint (SCARA2) Planmeca ProMax 2D S2 panoramic dental imaging unit includes basic programs for panoramic, extraoral bitewing, TMJ and sinus imaging.

Our Autofocus feature for Planmeca ProMax® 2D S3 helps to guarantee consistently high panoramic image quality. It uses a low dose scout image of the patient’s central incisors to automatically position the focal layer. This dramatically reduces the need for retakes and guards the patient from unnecessary exposures.

Planmeca ProMax 2D panoramic dental imaging units have been designed with upgradeability in mind. Their modular structure allows easy conversion to different imaging modalities. Whether you are upgrading your 2D unit to 3D or adding a cephalometric arm, Planmeca has the right solution for you.
If you would like further information about Pearl Dental Imaging, please contact us or call the number below